<症例情報>

ノルウェージャン・フォレスト・キャット
4歳 去勢済みの男の子
主訴:先月初めててんかん発作を起こし、来院日も2回発作。
<検査結果>
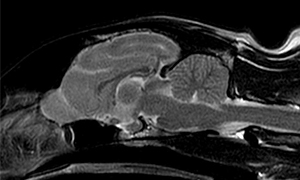
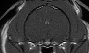
MRI検査・脳脊髄検査を実施したが、脳に発作を起こすような異常は認められなかった。


診断結果は、特発性てんかんの疑い
<てんかん発作の原因>
構造的てんかん
脳腫瘍や脳炎、脳の奇形、脳梗塞など、脳にMRIや脳脊髄液検査で異常が認められるもの
原因不明のてんかん
初発が6歳以上で、MRIや脳脊髄液検査で異常が認められないもの
特発性てんかん
初発が6歳以下で、MRIや脳脊髄液検査で異常が認められないもの
その他
発作の原因が脳以外にある反応性発作(低血糖など)
<てんかん発作の治療>
月に1回以上の発作があるときは治療が必要になります。
抗てんかん薬を使いてんかんの発生頻度を抑えます。
<もし発作が起きたときは>
発作の様子の録画と時間の計測をしておきましょう。
<MRIって?>

MRIは磁気共鳴画像診断とも呼び、強力な磁力と電波により臓器や血管などを画像化する検査。
*当院では、高崎市の「MGL付属高度動物医療センター」にてMRI検査を実施しております。
当院からの指示があった場合を除き、まずは富岡総合医療センターをご受診下さい。