<症例情報>

雑種猫 14歳 去勢済みの男の子
主訴:後ろ足を引きずっていることで来院
神経の検査では後ろ足の麻痺を認め、左よりも右後ろ足の麻痺がより強かった。レントゲン検査では明らかな異常はなく、脊髄(神経)の疾患が疑われ、MRI検査を実施。
<MRI検査結果>


椎間板の変形(左画像で黒い部分)が複数認められた。
また胸と腰の間の部分で脊髄を圧迫している初見が認められ、椎間板ヘルニアが疑われた。
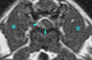
<診断>


右画像でお腹側から脊髄が圧迫されており(水色矢頭)、そこが造影剤によって白く染まったため、椎間板ヘルニアが今回の麻痺の原因と考えられた。
椎間板ヘルニアと言えば犬のイメージですが、稀に猫も発症します。
一般的に犬では胸と腰の間でのヘルニアが多く、猫では腰のヘルニアが多いと報告されています。
その他、原因不明ですがブリティッシュショートヘアとペルシャ猫に胸と腰の間での椎間板ヘルニアが多かったという報告もあります。
*当院では、高崎市の「MGL付属高度動物医療センター」にてMRI検査を実施しております。
当院からの指示があった場合を除き、まずは富岡総合医療センターをご受診下さい。