<症例情報>

ボーダーコリー
未去勢雄 5歳 18kg
主訴:数週間前からどこかを痛がっており、数日前からふらつくようになったとのことで来院。身体検査では腰を押すと痛そうな様子があり、精査のためにMRI検査へ
<検査結果>


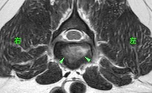
MRI検査で腰の背骨と椎間板に白い領域がみられ(黄緑矢頭)、炎症が疑われた。
さらにこの病変部は造影剤によって、より白く染まったことから椎間板脊椎炎が疑われる。

CT検査を実施してみると病変部は感染により、背骨が溶けていることも確認できた(水色矢印)
背骨の炎症が進み、骨が溶けてしまったと考えられる。
<椎間板脊椎炎(discospondylitis)>
椎間板などに細菌や真菌が感染し炎症を起こす病気
膀胱炎、前立腺炎、歯肉炎、皮膚炎など、脊髄から離れた場所での感染が血液の流れにのって椎間板に波及するともいわれている。
〈症状〉
・感染を起こした椎間周囲の痛み、同時に複数箇所で感染を起こすこともある
・炎症に伴い脱臼や骨折をしてしまうと脊髄などを圧迫し麻痺の症状が出ることもある
症状が椎間板ヘルニアとよく似ているため、画像検査や血液検査をもとに診断する必要がある。
本症例は膀胱炎も発症していたことから膀胱からの二次的な感染が疑われました。
椎間板脊椎炎は早期診断・早期治療が大切です。
何か気になることがありましたらいつでもご相談ください。
椎間板脊椎炎に関しては#14もご参照下さい。
*当院では、高崎市の「MGL付属高度動物医療センター」にてMRI検査を実施しております。
当院からの指示があった場合を除き、まずは富岡総合医療センターをご受診下さい。