<症例情報> 雑種 猫15歳 避妊済みの女の子主訴:寝る時間の増加、食欲低下、ふらつき、壁にぶつかるとのことで来院 左足の麻痺と左眼の視覚消失が認めら…
10歳、去勢雄の猫ちゃんで、 1年前からてんかん発作が続いているとのことでした。発作は抗てんかん薬などの内科治療ではコントロールできず、週3~4回発現していると…
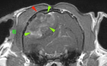
<症例情報> 小型犬雑種去勢雄 10歳主訴:頻回の発作があり来院→頭部の精査のためにMRIを実施 <検査結果>[caption…
<症例情報>トイ・プードル 12歳 6か⽉齢去勢済みの男の⼦⼼雑⾳を認める 主訴:粘液腫様僧帽弁疾患ステージ B2 のわんちゃんの定期検診 …
<症例情報> ノルウェージャン・フォレスト・キャット4歳 去勢済みの男の子 主訴:先月初めててんかん発作を起こし、来院日も2回発作。 &nb…
<症例情報>雑種猫 3歳 5か⽉齢去勢済みの男の⼦⼼雑⾳を認める主訴:⼼臓の定期検診 <心臓超音波検査結果> &n…
<症例情報> 小型ミックス犬7歳 避妊済みの女の子主訴:突然、左後ろ足に力が入りにくくなったことで来院神経の検査を行い、左後ろ足の反応の低下が認められた。背中か…
<症例情報> 雑種猫 14歳 去勢済みの男の子 主訴:後ろ足を引きずっていることで来院神経の検査では後ろ足の麻痺を認め、左よりも右後ろ足の麻痺がより強…
<症例情報> ラブラドールレトリーバー6歳 避妊済みの女の子 主訴:突然立てなくなり、今日になって呼吸がかなり弱くなってきた。レントゲン検査で異常は認…