<症例情報> 雑種猫 14歳 去勢済みの男の子 主訴:後ろ足を引きずっていることで来院神経の検査では後ろ足の麻痺を認め、左よりも右後ろ足の麻痺がより強…
<症例情報> ラブラドールレトリーバー6歳 避妊済みの女の子 主訴:突然立てなくなり、今日になって呼吸がかなり弱くなってきた。レントゲン検査で異常は認…
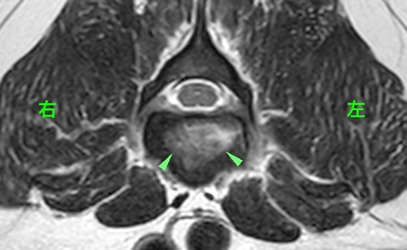
<症例情報> ミニチュア・ダックスフンド6歳 未去勢の男の子 主訴:後ろ足が立ち上がらないとのことで来院。神経の検査で両後ろ足の麻痺が認め…
<症例情報> ボーダーコリー未去勢雄 5歳 18kg 主訴:数週間前からどこかを痛がっており、数日前からふらつくようになったとのことで来院。身体検査で…
<症例情報> ゴールデンレトリーバー10歳 去勢済みの男の子 主訴:最近腰のあたりを触られるのを嫌がり、階段を登れなくなってきたとのことで来院&nbs…
<症例情報> バーニーズマウンテンドッグ5歳 去勢済みの男の子 主訴:最近首が痛そうで下を向くことが多く、後ろ足や前足にも力が入りにくい様子が見られる…
<症例情報> イタリアン・グレーハウンド12歳 未去勢の男の子 主訴:1ヶ月前に初めて発作を起こし、昨日2回目の発作を起こしたことで来院。麻酔をかけず…
<症例情報> ラブラドール・レトリーバー1歳 避妊済みの女の子 主訴:8ヶ月齢の時に初めて30秒ほどのけいれん発作。その後元気だったため様…
<症例情報> 猫 雑種16歳 未避妊の女の子 主訴:1ヶ月前から急に倒れるようになり、食欲も低下。神経学的検査では四肢の麻痺を認めたが、レントゲン検査…
<症例情報> ウェルシュ・コーギー10歳 去勢雄 【主訴】数ヶ月前から後ろ足の進行性麻痺を認めた→MRI検査を実施 …