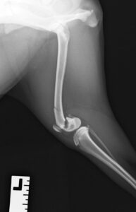
9ヶ月の柴犬の女の子が、高所から落下してしまい左後肢を痛めたとのことで来院されました。左後肢は足を着くことができず、レントゲン検査の結果、大腿骨(太ももの骨)の複雑骨折を認めました。
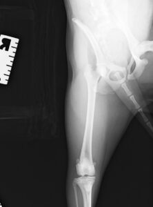
大腿骨の膝に近い部分が骨折してしまっており、さらに単純な骨折ではなかったため、内側と外側にそれぞれプレートを設置し固定しました。
関節に近い場所の手術であったためどうしても術後は関節がある程度拘縮(曲げ伸ばししづらくなる)してしまいますが、徐々に足を着けるようになってくれ、リハビリの効果もあり今では元通り運動できるように回復してくれました。
大腿骨遠位の骨折は特に若齢の犬猫においてしばしば発生します。若齢時には多くの骨の両端に成長板という骨を作る場所があり、その場所は強い力がかかった際に骨折しやすいためです。単純な骨折の場合にはピンだけで整復が可能なことも多くありますが、今回のような状況ではプレート固定も適応になります。どちらにしても手術後に関節の拘縮が起きやすく、術後のリハビリも重要になってきます。当院ではリハビリに特化したスタッフも在籍し、術後のケアもご家族と共に実施していきますので安心して手術を受けて頂くことができます。




【参照文献】
Gupta N, Kumar A, Sangwan V. Clinical evaluation of a combination of dynamic intramedullary and cross pins construct to stabilize supracondylar femoral fracture in dogs. Indian Vet J 2023;100:25-29.