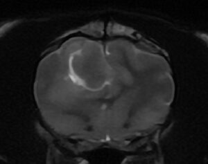
10歳、去勢雄の猫ちゃんで、 1年前からてんかん発作が続いているとのことでした。発作は抗てんかん薬などの内科治療ではコントロールできず、週3~4回発現しているとのことでした。 原因究明のためMRI検査を実施すると、大きな脳腫瘍が認められました。 画像の特徴から髄膜腫が疑われました。
ご家族と相談の結果、できる治療をしてあげたいとのことで、開頭による腫瘍摘出術を実施しました 。病理診断は当初の予測通り、猫の脳腫瘍で最多の髄膜腫でした 。
術後、脳への圧迫が取れたことで経過は極めて良好であり、発作は出なくなりました。現在は完全休薬に至っており、発作のない穏やかな生活を取り戻してくれています。
猫の脳腫瘍の約60%以上を占めるのが髄膜腫です 。高齢猫に多く、性格の変化や視覚障害、てんかん発作が主なサインです 。犬に比べ境界が明瞭で転移しにくいため、手術の相性が良いのが特徴です 。たとえ腫瘍を100%摘出できなくても、手術でボリュームを減らす(減容積)だけで脳への圧力が劇的に下がります 。内科管理のみでは生存期間が極めて短い報告もありますが、手術を行えば平均2~3年の長期生存が期待できるとも報告されています。
リスクのある治療ではありますが、手術という選択肢が猫ちゃんのQOLを大きく変えることもあります。気になる症状がある方、脳腫瘍の治療に悩まれている方は、一度お気軽にご相談ください。




