<症例情報>
雑種 猫
15歳 避妊済みの女の子
主訴:寝る時間の増加、食欲低下、ふらつき、壁にぶつかるとのことで来院
左足の麻痺と左眼の視覚消失が認められ、詳しい検査のためにMRIへ
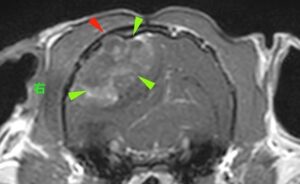
<MRI検査結果>

・脳に巨大な腫瘤が認められた
・腫瘤内部は石灰化が疑われた
・腫瘤周囲の骨が一部溶けている所見
MRI画像から上記3点が認められた。
これらの特徴的な所見から髄膜腫が疑われた。
<髄膜腫(meningioma)>
猫の髄膜腫は進行が緩やかなことが多く、症状が出る頃には腫瘤が巨大化しているということも少なくありません。
こんな症状が見られたら要注意!
元気がない、性格の変化、ふらつく、同じ方向にくるくる回る、目が見えない、徘徊する、壁に頭を押し付けるなどの症状があれば早めにご相談ください。
<MRIって?>

MRIは磁気共鳴画像診断とも呼び、強力な磁力と電波により臓器や血管などを画像化する検査。
*当院では、高崎市の「MGL付属高度動物医療センター」にてMRI検査を実施しております。
当院からの指示があった場合を除き、まずは富岡総合医療センターをご受診下さい。