<症例情報>

イタリアン・グレーハウンド
12歳 未去勢の男の子
主訴:1ヶ月前に初めて発作を起こし、昨日2回目の発作を起こしたことで来院。麻酔をかけずに行う検査(血液検査など)では、てんかんの原因となるような異常は見られなかった。しかし、高齢かつ脳の異常による発作の可能性も考えられるためMRI検査を実施。
<検査結果>
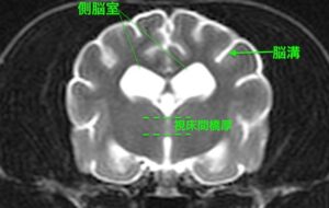
![[横断像(本症例)、T2強調画像]](https://saitovet.com/wp-content/uploads/2025/11/2-300x190.jpg)
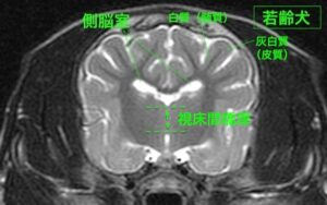
![[横断像(若齢犬)、T2強調画像]](https://saitovet.com/wp-content/uploads/2025/11/3-300x188.jpg)
右画像の若齢犬と比べてみると、
・脳のしわの部分(脳溝)が分かりやすい
・脳の外側と内側(灰白質と白質)の境目が分かりにくい
→脳の萎縮が疑われる
しかし本症例ではこれは異常ではなく、年齢的に正常な加齢性の脳萎縮であると判断できる。
本症例はMRI検査と脳脊髄液(脳や神経の周りを囲む液体)の検査で、加齢性の変化以外の異常が認められませんでした。
初めててんかんを起こした年齢が12歳と高齢であるため、*特発性てんかんには分類されず原因不明のてんかんに分類されます。
*初めての発作が6ヶ月齢から6歳の場合の発作
初めて我が子がてんかん発作を起こしてしまった場合には不安になってしまうと思います。
てんかん発作の原因は多岐にわたり、原因によって治療法は異なるため、適切な診断プロセス及び検査が必要となってきますので当院にご相談ください。
*当院では、高崎市の「MGL付属高度動物医療センター」にてMRI検査を実施しております。
当院からの指示があった場合を除き、まずは富岡総合医療センターをご受診下さい。