<症例情報>

猫 雑種
16歳 未避妊の女の子
主訴:1ヶ月前から急に倒れるようになり、食欲も低下。神経学的検査では四肢の麻痺を認めたが、レントゲン検査では異常はなかった。
→詳しい検査のためにMRIへ
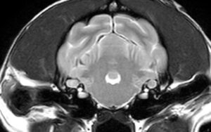
<検査結果>


左右の鼓室胞内(内耳)の内腔を占拠する内容物を認める
診断名:両側の重度中耳炎・内耳炎
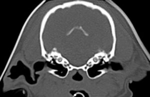
<MRIとCTの違い>


CTは骨構造を詳細に見ることができるが、脳や内耳は骨構造に囲まれているため、内部の構造の評価は困難。
脳や内耳の評価にはMRI検査が推奨される。

<前庭疾患の原因>
・抹消性前庭疾患:中耳炎、内耳炎
・中枢性前庭疾患:脳幹部、小脳の異常(脳腫瘍、脳梗塞、脳炎など)
何が原因かを特定することが大事になってきます。
<MRIって?>

MRIは磁気共鳴画像診断とも呼び、強力な磁力と電波により臓器や血管などを画像化する検査
*当院では、高崎市の「MGL付属高度動物医療センター」にてMRI検査を実施しております。
当院からの指示があった場合を除き、まずは富岡総合医療センターをご受診下さい。